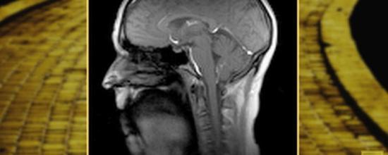
![]() 贝克曼生物医学成像中心的核磁共振仪采集到的人歌唱时的喉部运动图像,采集速度每秒100帧 据国外媒体报道,在唱歌或是说话时,需要人的胸部、颈部、下颚、舌头和嘴唇等处上百种肌肉相互协作才能发出声音。利用新发明的一种超高速核磁共振成像技术,美国贝克曼高等科学技术研究所的研究人员现在能够对这些肌肉的协作进行成像,研究这些协作的进程。 “人能够发出各种声音,能够唱歌,这一点让我感到惊叹”,Aaron Johnson介绍说,他是贝克曼高等科学技术研究所下辖的生物成像科学与技术研究组的成员,语言与听觉科学助理教授,“声音是通过两小片组织震动发出来的。这正是我付出一生对其进行研究的原因:我觉得这太神奇了。” 声音是由位于颈部的喉发出的。当我们唱歌或是说话的时候,声带(两小片组织)闭合起来,当空气通过两者之间时导致其发生震动,发出声音。 Johnson曾经在芝加哥的合唱团做过十年的专业歌手,他对声乐表演的激情也延伸到了科研上来,希望弄清声音和神经-肌肉系统间的关系,他对声音随着年龄增长发生的变化尤其感兴趣。 “随着我们年龄的增长,我们的神经-肌肉系统和喉会发生变化,并且萎缩。这些变化是随着年龄增长声音在各个方面变差的原因,比如声音变弱、变紧或是变‘喘’”,Johnson介绍说,“我的研究兴趣是弄清这些变化是如何发生的,以及通过人工干预,比如进行发声训练,是否能够扭转这些变化。要想进行这些研究,我需要实时的观察发声时喉部肌肉的活动。” 使用贝克曼生物医学成像中心研发的新的核磁共振成像技术,Johnson能够观察人在发声时相关肌肉活动的动态图像,成像的速度可以达到每秒100帧——远远高于世界上其它核磁共振的成像速度。 “通常核磁共振的成像速度大约为每秒10帧左右,但我们可以达到每秒100帧,同时还不会影响成像的质量”,生物医学成像中心的技术总监,生物工程学副教授Brad Sutton介绍说。 这项研究成果日前发表在了《医学磁共振》(Magnetic Resonance in Medicine)杂志上。 要研究说话和歌唱时舌头以及头部和颈部其它肌肉的活动,动态的图像尤其有用。 “要捕捉到这些灵活的运动,成像速度必须要达到每秒100帧,这项技术的出色之处也正在于此”,Johnson介绍说。 Johnson最近获得了美国国立卫生研究院颁发的K23事业进步奖(K23 Career Development Award),他目前正在研究通过训练养老院的老人进行合唱,是否能够改善喉部相关结构的状况,使他们发出的声音更强、更有力。这项研究需要使用核磁共振技术采集喉部在运动前和运动后的相关数据。 贝克曼高等科学技术研究所的电子和计算机工程教授Zhi-Pei Liang研究组的研究工作为这项新技术奠定了基础。Sutton和他的团队在此基础上研发出了新的技术,使得在谈话时进行高速成像成为可能。 “这项技术的空间分辨率和时间分辨率都非常出色——图像非常清晰,同时成像速度也非常快。使用常规的核磁共振技术,通常精细的空间分辨率和时间分辨率两者无法兼得”,Sutton说。“我们研发了一种特别的数据采集方法,能够分别采集时间和空间数据,然后再把两者合并到一起,从而取得高质量、高分辨率的图像,而且成像速度还很快。” 在把动态图像和音频信号整合到一起的时候,研究人员使用了一种降噪光纤麦克风来采集音频信号,然后把音轨添加到视频图像上。 “从工程师到语言学家,在贝克曼高等科学技术研究所,我们有一个非常活跃的研究群体。利用几年前还不存在的核磁共振新技术,我们现在能够进行很多扫描研究”,Sutton介绍说。“团队中有Aaron这样的科学家很有意义,他们能够提出各种科学问题,这些问题能够推动我们的科研进展。”(陈彬) |


