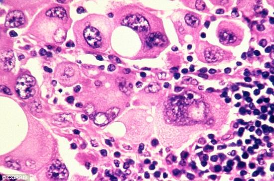
![]() ![]() 一种使用通过基因工程改良的疱疹病毒有望提高皮肤癌病人的生存率。 ![]() 据国外媒体报道,被“策反”的敌方机构、来自内部的叛徒、各种各样的伪装——这听上去活像约翰·勒加雷的间谍小说里的情节。但我们谈论的这场“骗局”要比那致命得多,它是一场与癌症之间的生死搏斗。 英国科学家近日取得了一项突破性成就,并在本周宣布,他们已经成功“策反”了我们最聪明、也最古老的敌人之一——疱疹病毒,使其成为了一名双面间谍,帮助我们从内部打败皮肤癌细胞。 这一过程中,疱疹病毒发挥了特洛伊木马的作用,从内部摧毁恶性黑色素瘤。 这一成就是免疫疗法领域取得的最新进展。而免疫疗法是医学界用来对抗癌症的新式武器。 现代医学创造的第一件武器,化疗,诞生于上世纪40年代。使用化疗来治疗癌症就像是对敌人发起地毯式轰炸。化疗将体内所有快速增殖的细胞都视为攻击对象,以此来扫除分裂速度极快的癌细胞。但它也会同时杀死胃部和发根的细胞,从而引发一系列可怕的副作用,如反胃和脱发等。在接受化疗之后的一段时间内,病人免疫力低下,很容易受到感染。 其它副作用可能要等到接受化疗数月、甚至数年之后才会出现,如更年期提前、不孕不育、手脚感觉发生变化(周围神经病变),以及由药物引起的心肺疾病等。有些种类的化疗会引起骨头质量减少,从而导致骨质疏松症。男性可能产生性功能障碍。有时病人还会患上其它癌症。 无疑,化疗拯救了无数人的生命,但这种治疗方式本身就是很残酷的。用军事术语来说,这种现象名为“附带伤害”。为了使这种伤害降到最低,科学家发明了靶向药物,如针对乳腺癌的他莫昔芬(Tamoxifen)。我们可以把这种药物想象成比较聪明的炸弹。但即便是它们,也不能每次都准确击中目标,也会引发严重的副作用。 与之相反的是,免疫疗法使用病毒来精准地识别癌细胞,然后将它们从内部摧毁。 该领域取得的最新突破由位于伦敦的癌症研究所和皇家马斯登NHS信托基金会共同领导进行。这项疗法包括向恶性黑色素瘤病人体内注射一种经过基因转化的疱疹病毒。 这种疱疹病毒不会伤害健康细胞,而是精确地瞄准体内的癌细胞,然后释放出一种化学物质,使得人体免疫系统对肿瘤产生警惕,从而利用病人自己体内的“防御工事”对癌细胞发起攻击。 这是免疫疗法中至关重要的一步。通常来说,肿瘤细胞和普通健康细胞差别很小,因此可以躲过免疫系统的搜查。而利用天然免疫系统发起进攻,可以大大降低产生副作用的风险。 这种名为T-VEC的新型皮肤癌疗法还有另一项重磅武器。一旦病毒成功潜入癌细胞,便会开始大量增殖,并在该过程中杀死癌细胞。 因此,通过“抢劫”疱疹病毒,科学家成功“策反”了一名人类的敌人,使之转而为我们服务。 早在我们还没进化成人类之前,疱疹病毒就已经开始困扰我们了。去年,美国研究人员发现,一些600万年前的猿类体内感染了疱疹病毒。古希腊人将其命名为herpes,意思是“匍匐或爬行”,因为它会导致皮肤表面的疮以不可阻挡之势蔓延。 疱疹病毒有许多分支,它们会引起水痘、带状疱疹、感冒疮、严重的眼部疾病,以及臭名昭著的性传播疾病等。 一旦我们感染了疱疹病毒,它就会终生潜伏在我们体内。当人体抵抗力较低时,便会以带状疱疹和感冒疮的形式出现。 讽刺的是,根据一些最新研究,疱疹病毒可能引发鼻癌,并与一些胃癌有一定联系,以及霍奇金淋巴瘤。此外它还会加速子宫颈癌的恶化。 但数十年以来,科学家一直在实验室中对其感染能力进行研究,从而成功修改了疱疹病毒的基因,让它能够为我们所用。 在一项发表在期刊《Clinical Oncology》上的最新临床试验中,有436名患有无法通过手术治疗的恶性黑色素瘤的病人参与了这项试验。恶性黑色素瘤是皮肤癌中最为致命的一种,每年发病的13000人中,有超过2000人会因此丧生。 一些病人在注射了这种经过改良的疱疹病毒之后,已经存活了三年之久——这已经很接近“治愈”的定义了。在有些病例中,T-VEC疗法生效之后,肿瘤消失了约百分之四十,还有些甚至缩小了一半多。 一些评论家警告称,还需要大量实验才能证实这种疗法的可靠性。但皇家马斯登负责领导T-VEC临床试验的凯文·哈灵顿(Kevin Harrington)表示,他们希望能在一年之内将这种疗法运用于常规治疗中。 “我们希望这将是同种类型疗法中的第一波,在接下来十年内,还会出现其它类似的疗法。”他说道。 的确,其它用于治疗头部、颈部、膀胱及肝脏癌症的病毒免疫疗法药物目前已处于研发之中。意大利和美国的研究人员试图在英国癌症研究所的帮助下,使用沙门氏菌和李斯特菌来消灭免疫反应,从而为肿瘤煽风点火,。 奇怪的是,利用自身免疫系统抵挡癌症的想法早在150年前就已经出现了,但被当时的人们所忽视。随着强大的化疗药物的出现,这些理论也被人们弃置一旁。 而现在,随着基因药物的改进,我们已经具备了将传染病菌转变为打败肿瘤的战士的潜力。 这并不是说,现代免疫疗法会为化疗和传统癌症药物疗法画上一个句号。我们需要多管齐下,才能达到自己的目的。但免疫疗法的确可能让癌症病人在治疗过程变得不那么衰弱。 如果运气好的话,免疫疗法药物可以成为一种强有力的新型防御手段。问题在于,由于其自身特性,臭名昭著的癌症往往难以用单独一种疗法打败。肿瘤细胞增殖速度极快,且极易扩散,因此,要想打败这样一种疾病,就像是对抗一支不停重生的敌军。 我们知道,癌症细胞能够迅速“学会”伪装自己,从而躲过药物的袭击,并藏在人体深处,病人也许看上去已经痊愈,癌症却又以令人费解的方式卷土重来。 免疫疗法药物面临的一大威胁是资金的缺乏。要想研发出这样的药物、并证明其安全性和有效性,需要花费约17亿英镑——而制药公司的股东无疑希望公司能够盈利。 T-VEC新型皮肤癌药物的制造商安进公司(Amgen)表示,他们已经将这种药物投放到了欧洲市场。但即使它获得了英国国家健康临床优化研究所(NICE)的许可,对于NHS来说,它仍然代价过于高昂。 在接下来与癌症的战争中,我们必须扪心自问:如果我们缩减了在医药上投入的预算,那么,我们能否承担这样做的代价呢?(叶子) |




