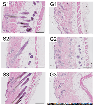
![]() 实验用的老鼠被关在特制的“老鼠抽屉系统”中 ![]() 这些老鼠在国际空间站的微重力环境下生活了91天,由宇航员负责照顾它们。 ![]() 据国外媒体报道,科学家对3只在国际空间站生存了91天的老鼠进行了研究,研究发现它们的皮肤出现了异常。对于任何在太空中生活过的动物来说,这都是一项纪录。由于老鼠的寿命比较短,91天对它们来说相当于人的7年。 这项研究是20项相关研究之一,这些研究的目的是通过对老鼠身体各部分进行观察,研究零重力环境对健康产生的影响。利用显微镜观察,科学家发现,这些“太空老鼠”的皮肤比生活在地球上的普通老鼠皮肤更薄,它们的肌肉和皮肤上的毛也发生了变化。 这项研究日前发表在了新创刊的《NPJ微重力》杂志上。科学家说这只是初步研究,因为实验的样本量很小,只有3只老鼠。不过这个现象很有趣,因为在太空中停留较长的一段时间之后,宇航员常常会汇报说他们的皮肤会出现种种问题。 “如果这项研究是在地球上进行的,那么这一发现不可能会被杂志接受发表,因为实验只使用了3只老鼠——但这是一个情况特殊的实验”,比利时列日大学的Betty Nusgens博士介绍说,她是这篇论文的作者之一。 据Nusgens介绍,很难把这一结果推论到人的身上,不过她同时指出有其它实验对宇航员进行了类似的研究。 NASA(美国航空航天局)和其它一些航天局进行过几项类似的研究。其中的一项名叫SkinCare,研究的对象是德国宇航员Thomas Reiter,观察他停留在国际空间站上一年间(2006-2007)皮肤的变化情况。另外一项名叫Skin-B,目前正在进行中。 宇航员在太空中常会经历更多皮肤不适的情况,并且发现如果受了点小伤,比如划伤或是擦伤,伤口愈合会比在地球上花更长的时间。科学家使用老鼠进行实验的目的是对在太空中皮肤的细微变化进行观察。 变薄的皮肤 2009年8月,科学家使用“发现”号航天飞机把6只老鼠送到了国际空间站上,老鼠被关在一个特制的“老鼠抽屉系统”(Mouse Drawer System)里。6只老鼠被分开单独关在“老鼠抽屉系统”中的安全笼里。“老鼠抽屉系统”被安装在空间站上,在太空中停留了3个月,然后于同年11月搭乘“亚特兰蒂斯”号航天飞机返回地球。 空间站会自动给这些老鼠喂食和喂水,空间站上的宇航员负责照看这些老鼠。 有3只老鼠活着完成了这段太空之旅,回到地球(另外3只由于意外或是健康问题死亡)。科学家采集了这些老鼠的各组织和器官进行了20项不同的研究。 Nusgens博士和她的同事使用3小块珍贵的皮肤样品进行了研究,把这些皮肤与在地球上的“老鼠抽屉系统”里生活的老鼠的皮肤进行了比较。研究发现,这些“太空老鼠”外层的皮肤比地球上用作对照的老鼠的外层皮肤薄,另外“太空老鼠”的毛囊也发生了变化。 “皮肤上的毛会生长,然后生长会停止——毛停止生长,然后脱落,毛就是这样周而复始生长的”,Nusgens博士解释说,“在这些‘太空老鼠’中,这种生长的循环过程被破坏了。”尤其值得注意的是,“太空老鼠”皮肤上的毛并没有按这种规律生长,而是逆着这种规律生长的——在应该停止生长的时候,这些毛不但没有停止生长,生长反而变得更加活跃。 Nusgens告诉BBC:“但我们不清楚这一过程是如何进行的,也不知道为什么会出现这种情况——我们没有更多的实验数据来解释之一现象。”另外,这一观察结果不适合推论到宇航员身上,因为我们的皮肤只有很小一部分会长毛。 另外“太空老鼠”皮肤下直接与皮肤接触的一层肌肉也发生了一些变化。同样的,没有在人上观察到类似的现象。“在国际空间站上停留3个月的老鼠的皮肤会变得比地球上的对照老鼠皮肤薄,这是这项研究的主要发现”,Nusgens博士介绍说。 长时间没有重力作用之后 David Green博士是伦敦国王学院太空生理学的高级讲师。他告诉BBC这些实验结果很值得注意,因为实验的时间很长:此前从来没有人以外的动物在零重力环境下生存了这么长的时间。 “对老鼠来说,91天相当于人的7年”,Green博士说。尽管这只是一个小型的研究,但实验有力的证明了皮肤的健康状况与人的太空活动存在“高度的相关性”。在我们计划进行更长时间太空旅行的时候(比如飞向火星),这一点更是如此。 “这项研究的结果说明在微重力环境下,皮肤很敏感。长时间处于微重力环境下会导致皮肤的生长和替换失调。 “皮肤一个有趣的地方是,我们在不断的替换皮肤。皮肤最外面的一层是死的细胞,这一点毋庸置疑,但皮肤实际上是高度活跃的器官。”(陈彬) |




